치통은 흔하지만 종종 오해를 받는 치과 질환입니다. 치통은 경미한 통증부터 쇠약해질 정도의 통증까지 다양하며 삶의 질에 큰 영향을 미칠 수 있습니다. 그렇다면 치통의 원인은 무엇이며 어떻게 효과적으로 치료하고 예방할 수 있을까요? 이 포괄적인 글에서는 치통의 원인을 자세히 설명하고, 다양한 치료 옵션에 대해 논의하며, 이 고통스러운 질환을 예방하기 위한 실용적인 팁을 제공합니다.

알아두면 도움 되는 생활의서(生活醫書) 동의보감(東醫寶鑑)
동의보감 외형 편-이빨 [牙齒]
이빨 [牙齒]
치통에는 7가지가 있다 [牙齒痛有七]
치통은 위(胃) 속에 있던 습열(濕熱)이 잇몸 사이에 올라갔을 때 풍한에 감촉되거나 찬 것을 마신 것으로 말미암아 습열이 몰리고 맺혀서 밖으로 나가지 못하기 때문이다. 한(寒)은 표(標)이기 때문에 맛이 맵고 성질이 더운 약으로 문지르고 양치질해야 한다. 병의 근본은 열이기 때문에 속으로 맛이 맵고 성질이 찬약을 써서 열을 발산시켜야 한다 [단심].
이빨을 닦는 약 처방이나 사부소거산(謝傅笑去散)을 두루 쓴다. 수양명경의 한 가지가 이빨에 들어가 그 맥이 막히면 이빨이 들뜨고 허하면 이빨이 드러나고 풍을 끼면 머리와 얼굴에까지 올려 치밀어서 아프며 감닉이 되면 충치가 되거나 이빨이 빠진다 [직지].
이빨이 아플 때 입을 벌리고 바람을 맞으면 더 아픈 것은 위(胃) 속에 풍사(風邪)가 있기 때문이다. 입을 벌리면 더러운 냄새가 나서 가까이할 수 없는 것은 장위(腸胃) 속에 열이 몰려 있기 때문이다. 이 뿌리가 붓고 아픈 것은 위(胃)에 열이 있는 것이고 이빨이 아프면서 흔들리는 것은 신(腎)의 원기가 허한 것이며 구멍이 생기고 아픈 것은 벌레가 먹은 것이다 [의감].
바람을 들이마시면 더 아프고 입을 벌리면 더러운 냄새가 나는 데는 당귀연교음을 쓴다 [회춘]. 한증일 때에는 이빨이 든든하면서 [堅牢] 아프고 열이 심할 때에는 이빨이 흔들리고 잇몸이 벗어지면서 아픈 것이 멎지 않는다 [동원].
찬 것을 만나면 더 아픈 것은 한증이고 서늘한 바람을 들이마시면서 통증이 멎는 것은 열증이다 [강목].
소개: 치통의 소리 없는 고통
좋아하는 음식을 씹다가 갑자기 치아에 날카로운 찌르는 듯한 통증을 느끼거나 한밤중에 욱신거리는 통증으로 잠에서 깨어나 잠을 이루지 못하는 경우를 상상해 보세요. 치통은 예기치 않게 발생하여 불편함과 통증을 유발할 수 있습니다. 하지만 치통이 발생하면 입안에서 정확히 어떤 일이 일어나고 있을까요? 근본적인 원인을 이해하는 것이 효과적인 치료와 예방을 위한 첫걸음입니다.
치통의 해부학
치통은 치아 뿌리와 주변 구조물의 신경이 자극받을 때 발생합니다. 이러한 자극은 충치, 치주 질환, 치아 골절 등 다양한 요인으로 인해 발생할 수 있습니다. 통증은 근본적인 문제의 심각도에 따라 급성 또는 만성으로 나타날 수 있습니다.
치통을 무시해서는 안 되는 이유
치통을 사소한 불편으로 치부하고 싶을 수도 있지만, 치통은 종종 주의가 필요한 근본적인 문제의 증상일 수 있다는 점을 인식하는 것이 중요합니다. 치통을 무시하면 감염, 농양, 심지어 치아 손실과 같은 더 심각한 치과 문제로 이어질 수 있습니다.

치통의 일반적인 원인
치아 충치: 주요 원인
충치 또는 치아우식증은 치통의 가장 흔한 원인입니다. 충치는 입 안의 박테리아가 치아 법랑질을 침식하는 산을 생성할 때 발생합니다. 충치를 치료하지 않고 방치하면 충치가 치아의 민감한 내부층까지 도달하여 통증과 불편함을 유발할 수 있습니다.
충치의 발생 원리
충치는 부실한 구강 위생, 단 음식과 음료의 잦은 섭취, 불소 노출 부족 등으로 인해 시간이 지남에 따라 발생합니다. 치태에 있는 박테리아는 당분을 먹고 산을 생성하여 점차 에나멜을 녹이고 치아에 구멍을 만듭니다.
징후 알아보기
충치의 일반적인 징후로는 치아 민감성, 치아에 눈에 보이는 구멍이나 구덩이, 단 음식이나 뜨거운 음식 또는 찬 음식을 먹거나 마실 때 통증이 있습니다. 정기적인 치과 검진은 심각한 통증을 유발하기 전에 충치를 발견하고 치료하는 데 도움이 될 수 있습니다.
치주 질환: 소리 없는 위협
잇몸 질환이라고도 알려진 치주 질환은 치통의 또 다른 흔한 원인입니다. 이 질환은 플라그가 쌓여 잇몸과 치아 지지 구조에 염증과 감염을 일으킬 때 발생합니다.
치주 질환의 단계
치주 질환은 치은염(잇몸 염증)으로 시작하여 여러 단계를 거쳐 진행되며, 치주염(심각한 잇몸 감염)으로 발전할 수 있습니다. 치주 질환 초기에는 잇몸이 붉어지고 붓고 피가 날 수 있으며, 진행 단계에서는 치통, 잇몸 함몰, 치아 손실이 발생할 수 있습니다.
예방 및 치료
치주 질환을 예방하려면 구강 위생을 청결하게 유지하는 것이 중요합니다. 여기에는 규칙적인 양치질, 치실 사용, 전문적인 치아 세척이 포함됩니다. 치주 질환이 발견되면 정밀 세척, 항생제 투여, 심한 경우 수술적 치료가 필요할 수 있습니다.
치아 골절: 숨겨진 통증 유발 요인
치아 골절은 외상, 이갈이, 딱딱한 물체에 물린 경우 등 다양한 요인으로 인해 발생할 수 있습니다. 이러한 골절은 치아의 민감한 내부층을 노출해 통증과 민감성을 유발할 수 있습니다.
치아 골절의 유형
치아 골절에는 다음과 같은 여러 유형이 있습니다.
- 크레이지 라인: 일반적으로 통증을 유발하지 않는 에나멜의 작은 표면 균열.
- 파절된 치관: 씹을 때 통증을 유발할 수 있는 치아의 뾰족한 부분에 금이 간 경우.
- 금이 간 치아: 치아의 깊은 금이 간헐적으로 통증을 유발하는 경우.
- 치아 갈라짐: 치아 표면에서 잇몸선 아래까지 금이 간 경우 발치가 필요할 수 있습니다.
금이 간 치아 관리
금이 간 치아의 치료는 금의 정도에 따라 다릅니다. 경미한 균열은 미용상 치료만 필요할 수 있지만, 더 심한 균열은 크라운, 신경치료 또는 발치가 필요할 수 있습니다.
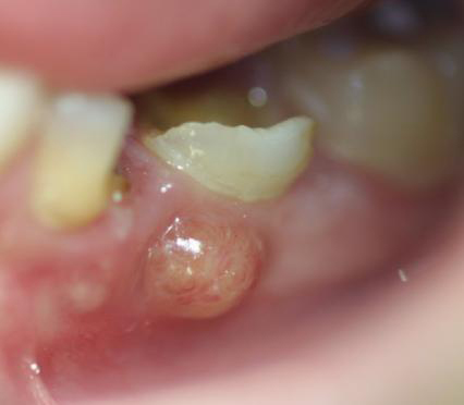
치아 농양: 심각한 감염
치아 농양은 박테리아가 치수의 치수(신경과 혈관이 있는 치아의 가장 안쪽 부분)에 침입하여 발생하는 심각한 감염입니다. 이 감염은 심한 통증, 부기, 발열을 유발할 수 있습니다.
치아 농양의 증상
치아 농양의 증상으로는 욱신거림, 심한 통증, 얼굴과 뺨의 부종, 림프절 압통, 발열 등이 있습니다. 농양이 발생하면 감염 확산을 막기 위해 즉각적인 치료가 필요합니다.
치료 옵션
치아 농양의 치료에는 일반적으로 농양을 배출하고, 감염을 제거하기 위해 항생제를 처방하며, 감염된 치수를 제거하기 위해 신경치료를 시행하는 것이 포함됩니다. 경우에 따라 치아를 발치해야 할 수도 있습니다.
치통에 대한 효과적인 치료 옵션
일시적인 증상 완화를 위한 가정 요법
치통을 치료하기 위해서는 전문적인 치과 치료가 필수적이지만, 몇 가지 가정 요법으로 통증과 불편함을 일시적으로 완화할 수 있습니다.
소금물 헹굼
소금물로 헹구면 염증을 줄이고 감염된 부위를 깨끗하게 하는 데 도움이 될 수 있습니다. 따뜻한 물 한 컵에 소금 반 티스푼을 섞어 입 안을 깨끗이 헹궈주세요.
냉찜질
뺨 바깥쪽에 냉찜질하면 통증을 완화하고 부기를 줄이는 데 도움이 될 수 있습니다. 얼음 팩을 천에 싸서 해당 부위에 15~20분간 올려놓으세요.
클로브 오일
클로브 오일은 천연 진통제이자 항염증제입니다. 면봉에 소량의 정향 오일을 묻혀 아픈 치아에 바르면 일시적으로 통증을 완화할 수 있습니다.
처방전 없이 구입할 수 있는 진통제
이부프로펜과 아세트아미노펜과 같은 일반의약품 진통제는 치과를 방문할 때까지 치통 통증을 관리하는 데 도움이 될 수 있습니다. 권장 복용량을 따르고 진통제를 치아나 잇몸에 직접 사용하지 마세요.
전문적인 치과 치료
치통을 장기적으로 완화하고 치통의 근본적인 원인을 해결하려면 전문적인 치과 치료가 필요합니다.
치과 충전물
충치가 치통의 원인인 경우, 치과 의사는 치아의 충치 부분을 제거하고 치아 충전물로 채웁니다. 이렇게 하면 치아 구조가 복원되고 추가 충치를 예방할 수 있습니다.
근관 치료
근관 치료는 치아의 치수가 감염되거나 염증이 생겼을 때 필요합니다. 이 과정에서 치과 의사는 감염된 치수를 제거하고 근관을 세척한 다음 재감염을 방지하기 위해 밀봉합니다. 일반적으로 치아의 기능과 외관을 복원하기 위해 크라운을 치아에 씌웁니다.
발치
치아가 심하게 손상되었거나 감염되어 보존할 수 없는 경우 발치가 필요할 수 있습니다. 발치 후에는 임플란트 또는 브릿지와 같은 옵션을 사용하여 빠진 치아를 대체할 수 있습니다.
치주 질환 치료
치주 질환이 치통의 원인인 경우 치주 치료에는 스케일링, 치근 표면 세척(딥 클리닝), 항생제, 진행된 경우 잇몸 건강을 회복하기 위한 외과적 시술이 포함될 수 있습니다.

치통 예방: 최적의 구강 위생을 위한 팁
구강 위생을 잘 유지하세요
좋은 구강 위생은 치통 및 기타 치아 문제를 예방하기 위한 기초입니다.
양치질과 치실 사용
불소치약과 치실을 사용하여 하루에 두 번 이상 양치하고, 매일 치실을 사용하여 치아 사이와 잇몸 라인을 따라 플라그와 이물질을 제거하세요.
정기 치과 검진
정기적으로 치과를 방문하여 전문적인 세척과 검진을 받으세요. 치아 문제를 조기에 발견하고 치료하면 치통 및 기타 합병증을 예방하는 데 도움이 될 수 있습니다.
건강한 식단 및 영양 섭취
균형 잡힌 식단은 치아 건강을 유지하는 데 중요한 역할을 합니다.
단 음식과 음료 제한
단 음식과 음료는 충치를 유발할 수 있습니다. 단 간식과 음료 섭취를 제한하고 식사 후에는 물로 입 안을 헹구세요.
균형 잡힌 식단 섭취
과일, 채소, 저지방 단백질, 유제품이 풍부한 식단은 건강한 치아와 잇몸에 필요한 영양소를 제공합니다. 칼슘과 비타민 D는 치아와 뼈를 튼튼하게 하는 데 특히 중요합니다.
치아 부상으로부터 보호하기
치아를 부상으로부터 보호하기 위한 예방 조치를 취하면 골절 및 기타 부상을 예방하는 데 도움이 될 수 있습니다.
마우스 가드를 착용하세요
접촉 스포츠를 즐기거나 밤에 이를 갈 때 마우스 가드를 착용하면 치아를 부상으로부터 보호하고 치아 통증의 위험을 줄일 수 있습니다.
치아를 도구로 사용하지 마세요
치아를 사용하여 포장을 뜯거나 딱딱한 물건을 씹으면 골절이 발생할 수 있습니다. 적절한 도구를 사용하고 치아에 불필요한 스트레스를 주지 않도록 하세요.
치아 문제는 즉시 해결하세요
치아가 시린 증상, 통증, 붓기 등 치아 문제의 첫 징후가 나타나면 즉시 치과 치료를 받도록 하세요. 조기에 개입하면 사소한 문제가 심각한 치통이나 기타 합병증으로 발전하는 것을 예방할 수 있습니다.
치통의 심리적 영향
치아 건강과 정신 건강의 관계
치통은 정신적, 정서적 웰빙에 큰 영향을 미칠 수 있습니다. 만성적인 통증과 불편함은 스트레스, 불안, 심지어 우울증으로 이어질 수 있습니다. 치아 문제는 자존감, 사회적 상호작용, 정신 건강에도 영향을 미칠 수 있습니다.
치과 치료와 관련된 스트레스 및 불안 관리하기
많은 사람에게 치과 방문은 불안의 원인이 될 수 있습니다. 하지만 치과 문제를 즉시 해결하고 정기적인 치과 치료를 유지하면 심각한 치통을 예방하고 치과 방문과 관련된 불안을 줄일 수 있습니다.
지원 및 전문가의 도움 받기
치과 불안이나 치통으로 인한 심리적 영향으로 고통받고 있다면 정신건강 전문가의 도움을 받는 것이 좋습니다. 정신 건강 전문가는 불안을 관리하고 전반적인 건강을 개선하기 위한 전략을 제공할 수 있습니다

치과의 미래: 혁신과 발전
치과 기술의 발전
치과 분야는 치과 문제의 진단과 치료를 개선하는 새로운 기술과 치료법으로 끊임없이 발전하고 있습니다.
레이저 치과
레이저 치과는 충치, 잇몸 질환 및 기타 치아 문제를 치료하기 위한 최소 침습 옵션을 제공합니다. 레이저는 통증을 줄이고 출혈을 최소화하며 빠른 치유를 촉진할 수 있습니다.
디지털 이미징 및 3D 프린팅
디지털 이미징과 3D 프린팅의 발전은 치과에 혁신을 가져왔습니다. 디지털 엑스레이와 3D 스캔은 정확한 진단과 치료 계획을 위해 치아와 턱의 상세한 이미지를 제공하며, 3D 프린팅은 크라운, 브릿지, 얼라이너와 같은 맞춤형 치과 기구를 제작하여 치과 수복물의 정확성과 적합성을 향상하는 데 사용됩니다.
재생 치과
재생 치과는 손상된 치아 조직의 복구와 재생에 초점을 맞춘 새로운 분야입니다. 줄기세포 연구와 조직 공학은 치아 에나멜, 상아질, 심지어 치아 전체를 재생하는 치료법을 개발할 수 있는 잠재력을 가지고 있어 향후 전통적인 치과 수복물이 필요 없게 될 가능성이 있습니다.
개인 맞춤형 치과 치료
개인 맞춤형 치과 치료는 각 환자의 개별적인 필요와 선호도에 맞춰 치료 계획을 세우는 것입니다. 유전학 및 생체 인식의 발전으로 치과의사는 개인 맞춤형 예방 및 치료 전략을 개발하여 치과 치료의 효과를 높이고 환자 치료 결과를 개선할 수 있습니다.
원격 치과
원격 진료는 특히 외딴곳이나 의료 서비스가 부족한 지역에서 치과 치료를 받을 수 있는 편리한 방법으로 점점 인기를 얻고 있습니다. 환자는 치과를 방문하지 않고도 가상 상담을 통해 전문가의 조언, 진단, 치료 추천을 받을 수 있습니다. 또한 원격 치과 진료를 통해 진행 중인 치료와 후속 조치를 더 잘 모니터링할 수 있습니다.
마무리
치통은 단순한 불편함을 넘어 전반적인 건강과 삶의 질에 큰 영향을 미칠 수 있습니다. 치통의 원인, 효과적인 치료법, 예방법을 이해하는 것은 최적의 치아 건강과 통증 없는 미소를 유지하는 데 매우 중요합니다.
구강 위생을 잘 유지하고, 건강한 식단을 유지하며, 치아를 손상으로부터 보호하고, 문제가 발생하면 즉시 치과 치료를 받으면 치통 및 기타 치아 문제를 예방하는 데 도움이 될 수 있습니다. 치과 기술의 발전과 개인 맞춤형 관리로 치아 건강을 최상의 상태로 유지하세요.
미소는 전반적인 건강과 웰빙을 반영한다는 사실을 기억하세요. 치아와 잇몸 관리에 적극적으로 임하면 치아 통증을 예방할 수 있을 뿐만 아니라 자신감과 행복, 장기적인 건강으로 이어질 수 있습니다. 치과 치료를 우선순위로 삼고 정기적으로 치과를 방문하여 앞으로도 오랫동안 건강하고 통증 없는 미소를 유지하세요.
[다른글 더보기]
'건강' 카테고리의 다른 글
| 복잡한 체내 화학의 비밀 대사성 질환 (0) | 2023.07.31 |
|---|---|
| 음낭 부위가 축축하고 가려움-동의보감 생식기 (0) | 2023.07.23 |
| 요거트(yogurt)와 대장균(Escherichia coli) (0) | 2023.07.23 |
| 티아민 부족으로 생기는 각기병-동의보감 발 (0) | 2023.07.19 |
| 과도한 습기로 인하여 생기는 습병-동의보감 습병 (0) | 2023.07.17 |