분류 전체보기 335

머리에서 땀이 나는 것-동의보감 頭汗

머리에서 땀이 나는 것은 생리학적인 현상이지만, 머리에 혈액순환에 문제가 있거나 충분한 영양과 열을 공급하지 못할 때 발생하는 증상일 수도 있습니다. 주로 두통, 어지러움, 손발의 저림등을 동반하며, 추위에 민감하고 냉방이 강한 곳이나 겨울철에 증상이 심해질 수 있습니다.  알아두면 도움 되는 생활의서(生活醫書) 동의보감(東醫寶鑑)동의보감 내경 편-진액(津液)머리에서 땀이 나는 것 [두한 頭汗]머리는 모든 양(陽)이 모이는 곳이다. 사기(邪氣)가 모든 양과 부딪히면 진액(津液)이 위로 몰리기 때문에 머리에서 땀이 나게 된다 [명리].머리는 3 양경이 모이는 곳이다. 3음 맥은 가슴에 와서 되돌아서게 된다. 머리에서 땀이 나는 것은 양이 허하기 때문이다. 그러므로 양이 약하면 땀이 나지만 음이 허해서는 땀..

건강 2023.06.25

피부에 갑자기 나타나고 솟아나고 가려운 두드러기

피부에 갑자기 나타나고 솟아나고 가려운 두드러기는 일반적인 피부 상태입니다. 두드러기는 고통스럽고 불편할 수 있으며, 영향을 받은 사람들에게 상당한 불편함을 줄 수 있습니다. 두드러기의 원인, 증상, 치료법 및 예방 전략에 대해 알아보겠습니다. 두드러기의 원인알레르기 반응알레르기는 두드러기의 주요 원인입니다. 인체의 면역 체계가 꽃가루, 애완동물의 비듬, 곤충에 물린 상처, 또는 특정 음식과 같은 알레르기 항원에 반응할 때, 특정 화합물인 히스타민을 방출하여 두드러기가 생기게 합니다.알레르기 반응은 면역 시스템이 잘못된 식별을 하여 일어나는 것으로, 알레르기 항원에 노출되었을 때 면역 체계가 과도한 반응을 일으키는 것입니다. 환경 요인일부 사람들은 특정 환경 요인에 민감하게 반응하여 피부 문제가 발생할 ..

건강 2023.06.20

식은땀을 흘릴 때 원인 및 관리-동의보감 津液

식은땀을 흘릴 때 땀을 만져보면 시원하거나 차가운 느낌이 듭니다. 식은땀은 몸이 과열되지 않은 상태에서도 일어나는 땀을 말하는데, 식은땀의 원인을 이해하는 것은 근본적인 상태를 파악하고 적절한 치료법을 찾기 위해 중요합니다.  알아두면 도움 되는 생활의서(生活醫書) 동의보감(東醫寶鑑)동의보감 내경 편-진액(津液)식은땀[도한 盜汗][내경]에는 신(腎)에 병이 생기면 잠잘 때 땀이 나고 바람이 싫다고 씌어 있다. 주해에는 잠잘 때 나는 땀이 식은땀이다고 씌어있다. 성무기(成無己)는 식은땀은 잠자는 사이에만 나다가 깨어나면 멎는다고 하였다. 식은땀은 잠자는 사이에 나는데 온몸이 목욕한 것 같이 된다. 이와 같이 된 것은 깨어나서야 알 수 있다. 그러므로 반드시 음을 보하고 화(火)를 다스려야 한다 [정전].식..

건강 2023.06.19

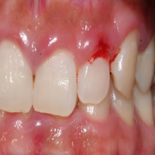
잇몸이 붓고 피가 날때 원인과 관리 예방-동의보감 血

잇몸이 붓고 피가 나기 시작하면 잇몸 염증의 징후로 주의와 관리가 필요한 질환입니다. 건강한 잇몸은 치아와 지지 구조를 보호하는 장벽을 제공하면서 구강 건강의 필수적인 부분입니다.  알아두면 도움 되는 생활의서(生活醫書) 동의보감(東醫寶鑑)동의보감 내경 편-혈(血)잇몸에서 피가 나오는 것 [치군뉵 齒軍衄][입문]에 잇몸에서 피가 나오는 것을 치뉵이라고 한다. 잇몸은 위(胃)에 속하고 이빨은 신(腎)에 속한다. 양명경(陽明經)에서 소음경(少陰經)으로 병이 전이되어 2개의 경맥이 서로 어울리게 되면 잇몸에서 피가 많이 나오는데 사람들은 흔히 이것을 잇몸에서 나오는 피라는 것을 알지 못하고 찬물로 입을 가셔서 피를 멎게 한다. 그러나 조금 지나면 또 나온다. 잇몸이 붓고 피가 나는 원인잇몸이 붓고 피가 나는 ..

건강 2023.06.18

심혈관 질환의 증상과 치료 및 예방

심장병으로도 알려진 심혈관 질환은 심장과 혈관에 영향을 미치는 다양한 질환을 포함합니다. 전 세계적으로 이환율과 사망률의 주요 원인입니다. 심혈관계 질환 중 대표적인 것이 관상동맥 질환으로, 플라크가 쌓이면서 심장에 공급되는 혈관이 좁아지거나 막혀서 발생합니다.   심혈관 질환심혈관 질환은 개인, 지역사회 및 의료 시스템에 미치는 영향으로 인해 매우 중요합니다. 그 중요성을 이해하면 예방, 조기 발견 및 효과적인 관리의 중요성을 강조하는 데 도움이 됩니다. 다음은 심혈관 질환의 중요성과 관련된 몇 가지 요점입니다.높은 유병률심혈관 질환은 세계적으로 가장 널리 퍼진 질환 중 하나입니다. 수백만 명의 사람들에게 영향을 미치며, 개인, 가족, 그리고 사회에 상당한 부담을 줍니다. 높은 유병률은 발생을 줄이기 ..

건강 2023.06.17