남성 생식 시스템의 작은 샘인 전립선은 양성 전립선 과형성 (BPH)과 전립선암과 같은 나이와 관련된 문제에 영향을 미치는 경향이 있습니다. 유전학, 호르몬, 그리고 식단과 같은 요소들은 전립선 건강에 영향을 미칠 수 있습니다. 우리의 눈은 우리에게 시력이라는 귀중한 선물을 제공하고, 그들의 행복을 보호하는 것은 필수적입니다. 황반변성과 백내장과 같은 나이와 관련된 눈 상태는 우리의 시력과 삶의 질에 영향을 줄 수 있습니다. 쏘팔메토, 전립선 질환, 전립선 비대증, 눈 건강에 대해 소개합니다.

쏘팔메토 (Saw Palmetto)
성분
일반적으로 쏘팔메토로 알려진 Serenoa repens는 미국 남동부가 원산지인 작은 야자입니다. 이 식물의 잘 익은 열매는 약용으로 사용됩니다. 지방산, 식물 스테롤(베타시토스테롤 등), 플라보노이드 및 다당류를 포함한 다양한 생리 활성 화합물을 포함합니다.
효과
전립선 건강: 쏘팔메토는 전립선 건강을 지원할 수 있는 잠재력으로 널리 알려져 있습니다. 비뇨기 증상을 유발할 수 있는 전립선의 비암성 비대증인 양성 전립선 비대증(BPH)에 대한 자연 치료제로 일반적으로 사용됩니다.
호르몬 균형: 쏘팔메토의 식물성 스테롤, 특히 베타-시토스테롤은 호르몬 불균형을 조절하는 데 도움이 되는 것으로 여겨집니다. 이것은 과잉과 관련된 상태를 관리하는 데 기여할 수 있습니다.
비뇨기 기능: 쏘팔메토는 잦은 배뇨, 약한 소변 흐름, 야간 배뇨와 같은 BPH와 관련된 배뇨 증상을 완화하는 데 도움이 될 수 있습니다.
건강 혜택
전립선 건강: 일부 연구에서는 쏘팔메토 추출물이 BPH 증상을 줄이고 비뇨기 기능과 남성의 삶의 질을 개선하는 데 도움이 될 수 있다고 제안합니다.
탈모: 일부 연구에서는 남성형 대머리(남성형 탈모증)를 해결하는 데 쏘팔메토를 사용하는 방법을 조사했습니다. 호르몬 균형에 영향을 미치는 식물의 능력이 탈모 예방에 역할을 할 수 있다고 믿어집니다.
항염증제: 쏘팔메토에는 잠재적인 항염증 특성이 있는 화합물이 포함되어 있어 전립선 염증 및 관련 증상을 줄이는 데 기여할 수 있습니다.
질병
쏘팔메토는 주로 노인들 사이에서 흔히 발생하는 양성 전립선 비대증(BPH)을 치료하는 데 사용됩니다. BPH는 빈뇨, 약한 흐름, 방광 비우기 어려움과 같은 배뇨 증상을 유발할 수 있습니다. 쏘팔메토는 BPH의 치료제는 아니지만 증상 완화에 도움이 되는 것으로 여겨집니다.
부작용
쏘팔메토는 일반적으로 대부분의 개인이 단기간 사용하기에 안전한 것으로 간주됩니다. 그러나 일부 사람들은 배탈, 메스꺼움 또는 두통과 같은 경미한 부작용을 경험할 수 있습니다. 쏘팔메토를 사용하기 전에, 특히 질병이 있거나, 약을 복용 중이거나, 임신 중이거나 모유 수유 중인 경우 의료 전문가와 상담하는 것이 좋습니다.
중요 사항
쏘팔메토는 다양한 건강상의 이점을 위해 사용되어 왔지만 그 효과와 안전성은 개인마다 다를 수 있습니다. 쏘팔메토를 포함한 약초 요법을 사용하기 전에 자격을 갖춘 의료 제공자와 상담하여 특정 건강 요구 사항에 대한 적합성을 결정하는 것이 중요합니다.
복용량 및 형태
쏘팔메토는 말린 베리(berry 딸기류의 열매), 분말 추출물, 캡슐, 정제 및 액체 추출물을 포함한 다양한 형태로 제공됩니다. 복용량 권장 사항은 다양할 수 있지만 전립선 건강을 위한 일반적인 복용량은 하루 160~320mg의 표준화된 추출물 범위일 수 있습니다.
효과에 대한 연구
쏘팔메토를 전립선 건강에 사용하는 것을 뒷받침하는 몇 가지 증거가 있지만 연구 결과는 엇갈립니다. 일부 연구에서는 BPH가 있는 남성의 배뇨 증상을 개선하는 데 도움이 될 수 있다고 제안하지만 다른 연구에서는 위약과 비교하여 큰 차이를 보이지 않습니다. 그 효과를 완전히 이해하려면 더 많은 연구가 필요합니다.
복합 제품
쏘팔메토는 종종 전립선 건강을 지원하거나 남성형 탈모를 해결하기 위해 혼합된 복합 제품의 성분으로 구성됩니다. 이러한 제품에는 효과를 향상하는 것으로 여겨지는 다른 허브 추출물, 비타민 및 미네랄이 포함될 수 있습니다.
사용 기간
쏘팔메토의 사용 기간은 개인의 필요와 건강 목표에 따라 결정할 수 있습니다. 일부 남성은 비뇨기 증상에 미치는 영향을 평가하기 위해 몇 주 동안 사용할 수 있으며, 다른 남성은 장기 건강에 통합할 수 있습니다.
의료 전문가와의 상담
쏘팔메토를 사용하기 전에 특히 기존 건강 상태가 있거나 약을 복용 중이거나 임신 중이거나 모유 수유 중인 경우 의료 전문가와 상담하는 것이 중요합니다. 허브 보충제는 약물과 상호 작용하거나 특정 건강 상태를 악화시킬 수 있습니다.
자연 요법
쏘팔메토는 종종 자연 요법을 선호하거나 전립선 건강을 위한 약물 개입을 고려하기 전에 대체 옵션을 탐색하려는 개인이 선택합니다.
규제 및 품질
쏘팔메토 보충제를 구매할 때 평판이 좋은 제조업체의 제품을 선택하는 것이 중요합니다. 특정 양의 활성 화합물을 포함하는 표준화된 추출물을 찾으십시오. 잠재적인 이점을 경험하려면 품질 관리와 적절한 복용량이 필수적입니다.
제한된 장기 안전 정보
쏘팔메토의 단기 사용은 일반적으로 대부분의 개인에게 안전한 것으로 간주되지만 장기 안전 및 장기간에 걸친 다양한 건강 매개변수에 대한 잠재적 영향에 대한 정보는 제한적입니다.
약초 보충제에 대한 개인의 반응은 다를 수 있으며 한 사람에게 잘 맞는 것이 다른 사람에게는 같은 방식으로 작동하지 않을 수 있음을 기억하십시오.
신뢰할 수 있는 출처에서 정보를 수집하고, 의료 전문가와 상담하고, 건강 및 웰빙 관행에 대해 정보에 입각한 결정을 내리는 것이 항상 현명합니다.
전립선 질환(Prostate Diseases)
전립선은 남성 생식 기관의 샘입니다. 방광 바로 밑에 있습니다. 정액의 일부인 체액을 만듭니다.
전립선 질환에는 몇 가지 종류가 있습니다.
전립선염은 전립선의 염증(부기와 통증)입니다. 이는 50세 미만의 사람들에게 가장 흔한 전립선 질환입니다. 여러 종류가 있습니다.
만성 전립선염은 만성 골반통 증후군이라고도 합니다. 전립선염의 가장 일반적인 유형입니다.
급성 세균성 전립선염은 갑자기 세균 감염으로 시작하여 항생제로 치료합니다. 일반적이지 않습니다.
만성 세균성 전립선염은 세균 감염이 계속 재발하면 발생합니다. 증상은 보통 천천히 시작됩니다. 급성 세균성 전립선염보다 치료에 시간이 더 걸릴 수 있습니다.
무증상 전립선염은 무증상이며 일반적으로 치료를 필요로 하지 않습니다. 다른 건강상의 문제로 검사를 받은 후 감염된 것을 알 수 있습니다.
확대된 전립선은 양성 전립선 비대증(BPH)이라고도 불립니다. 전립선은 나이가 들수록 커지는 경향이 있어요. 따라서 전립선 비대증은 고령자에서 매우 일반적이며 40세 미만에서는 드뭅니다. 전립선이 커지면 요도를 압박하여 배뇨에 지장을 초래할 수도 있습니다.
전립선암은 전립선에 암세포가 형성되면 발생합니다. 전립선암은 50세 이상의 사람들에게서 흔히 볼 수 있는 암입니다. 대부분의 전립선암은 천천히 성장하여 건강상의 문제를 일으키지 않을 수 있습니다. 하지만 특정 전립선암은 심각합니다.
양성 전립선 비대증(Benign Prostatic Hyperplasia)
전립선 비대증은 전립선이 정상보다 큰 경우입니다. 양성 전립선 비대증, 줄여서 BPH라고도 불립니다. 양성인 것은 암이 아닙니다. 과형성은 세포의 증식을 의미합니다. BPH는 암이 아니며 전립선암에 걸릴 위험을 높이는 것은 아닙니다.
일반적으로 전립선은 성인으로서 계속 성장합니다. BPH가 50세 이상의 사람들에게 가장 흔한 전립선 질환인 이유입니다. 전립선이 커지면 방광을 압박하여 요도를 조이게 됩니다. 이것은 방광 내 소변의 흐름을 느리게 하거나 차단할 수 있습니다.
시간이 지남에 따라 좁은 요도를 소변을 통과하려는 시도로 인해 방광 근육이 약해질 수 있습니다. 이렇게 되면 배뇨 시 방광이 완전히 비워지지 않을 수 있습니다. 요도 협착과 방광의 약함은 BPH와 관련된 많은 비뇨기 질환을 일으킵니다.
원인
양성 전립선 비대증의 원인은 잘 알려져 있지 않습니다. 하지만 주로 고령자에게 발생합니다.
사춘기 이전에 고환을 적출한 남성에게는 양성 전립선 비대증이 발생하지 않습니다. 이 때문에 일부 연구자들은 노화 관련 인자와 고환이 양성 전립선 비대증을 유발할 수 있다고 보고 있습니다.
남성은 평생 남성호르몬인 테스토스테론과 여성호르몬인 에스트로겐을 소량 생산합니다. 남성이 나이가 들면서 혈액 속 활성 테스토스테론의 양이 감소하고 에스트로겐의 비율이 높아집니다.
과학적 연구에 따르면 전립선의 에스트로겐 비율이 높을수록 전립선 세포 성장을 촉진하는 물질의 활성이 높아져 양성 전립선 비대증으로 이어질 수 있습니다.
또 다른 이론은 전립선의 발달과 성장에 역할을 하는 남성호르몬인 디하이드로테스토스테론(DHT)에 초점을 맞추고 있습니다. 일부 연구에서는 혈액 테스토스테론 수치가 저하되어도 고령자는 전립선에서 높은 수준의 DHT를 생성하고 계속 축적하는 것으로 나타났습니다. 이 DHT 축적은 전립선 세포의 지속적인 성장을 촉진할 수 있습니다. 과학자들은 DHT를 생산하지 않는 남성은 양성 전립선 비대증을 발병하지 않는다고 지적했습니다.
증상
양성 전립선 비대증을 시사하는 요로 하부 증상에는 다음과 같은 것이 있습니다.
빈뇨 : 1일 8회 이상
급 배뇨: 배뇨를 늦출 수 없음
소변 흐름의 시작 문제
약하거나 중단되는 소변의 흐름
배뇨 종료 시 흘림
야간 배뇨: 수면 중 빈뇨
요실금: 우발적인 소변 손실
사정 후 또는 배뇨 중 통증
비정상적인 색 또는 냄새
양성 전립선 비대증의 증상은 대부분에서 다음에서 발생합니다.
폐색요도: 소변이 폐색을 통과하도록 혹사하는 방광입니다
전립선의 크기가 폐색이나 증상의 중증도를 결정한다고는 할 수 없습니다. 전립선비대증 남성 중에는 폐색이 거의 없고 증상이 적은 사람도 있고 전립선비대증이 최소한인 사람은 폐색이 심하고 증상이 더 많은 사람도 있습니다. 양성 전립선 비대증 남성의 절반 미만이 요로 증상이 낮습니다.
남성은 소변이 나오지 않을 때까지 차단되어 있다는 것을 모를 수 있습니다. 급성 요폐라고 불리는 이 상태는 일반 감기약이나 알레르기 약을 복용함으로써 야기될 수 있습니다. 이 약들의 잠재적인 부작용은 방광 경부를 이완시키고 소변이 배출되는 것을 막을 수 있습니다. 디펜히드라민과 같은 항히스타민제가 함유된 약물은 방광 근육 수축을 약화시켜 요폐, 배뇨 곤란, 배뇨장애 등을 유발할 수 있습니다. 남성 요도의 부분적인 폐색은 알코올 소비, 저온 또는 장기간의 비활동으로 인해 요폐로 이어질 수도 있습니다.
합병증
양성 전립선 비대증의 합병증에는 다음이 포함될 수 있습니다.
급성 요폐
만성 또는 장기간에 걸친 요폐
소변의 피 요로감염(UTI)
방광 손상
신장 손상
방광 결석
양성 전립선 비대증인 남성의 대부분은 이러한 합병증을 발병하지 않습니다. 그러나 특히 신장 손상은 심각한 건강상의 위협이 될 수 있습니다.
예방
연구자들은 양성 전립선 비대증을 예방하는 방법을 발견하지 못했습니다.
양성 전립선 비대증 위험이 있는 남성은 더 낮은 요로 증상과 정기적인 전립선 검사의 필요성에 대해 의료 전문가와 상담해야 합니다. 남성은 요로하부 증상을 인식하고 전립선비대증 여부를 확인하여 조기 치료를 받아 양성전립선비대증을 최소화할 수 있습니다.
연구자들은 식사, 식이요법, 영양이 양성 전립선 비대증의 원인 또는 예방에 중요한 역할을 한다는 것을 발견하지 못했습니다. 그러나 의료 전문가는 식사, 식이요법 또는 영양의 변화가 치료에 어떻게 도움이 되는지에 대한 정보를 제공할 수 있습니다. 남성은 적절한 식사에 대해 의료 전문가 또는 영양사와 상담해야 합니다.
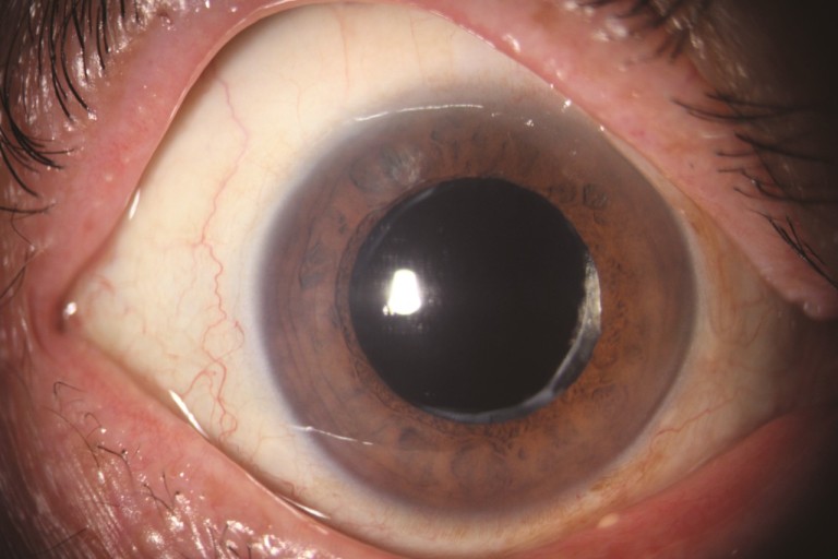
눈 건강
눈 건강을 유지하는 것은 삶의 질을 높이기 위해 필수적입니다. 우리의 눈은 세상을 인식하는 데 중요한 역할을 하는 복잡하고 섬세한 기관입니다. 다양한 요인이 눈 건강에 영향을 미쳐 질병과 불편함을 유발할 수 있습니다.
눈 건강은 눈이 최적의 기능을 발휘할 수 있도록 눈을 관리하는 것과 관련이 있습니다. 적절한 영양 섭취, 정기 검진, 보호 조치가 건강한 눈에 위해 기여합니다.

일반적인 눈 질환
백내장: 눈의 자연 수정체가 흐려져 시야가 흐려지고 빛에 민감해집니다.
녹내장: 안압 증가로 인해 시신경이 손상되어 시력을 잃게 됩니다.
나이 관련 황반 변성(AMD): 중심 시력의 점진적인 상실로 주로 노인에게 영향을 미칩니다.
당뇨병성 망막병증: 당뇨병 합병증으로 망막의 혈관이 손상되어 잠재적으로 실명에 이를 수 있습니다.
원인
나이: 많은 안구 질환은 나이와 관련이 있으며 나이가 들면서 더 흔해집니다.
유전학: 가족력은 특정 눈 상태의 위험을 증가시킬 수 있습니다.
UV 노출: 보호 장치 없이 장시간 태양에 노출되면 백내장 및 기타 문제가 발생할 수 있습니다.
흡연: 흡연은 AMD, 백내장 및 기타 눈 질환의 위험을 증가시킵니다.
당뇨병: 당뇨병을 통제하지 않으면 망막의 혈관이 손상될 수 있습니다.
고혈압: 고혈압은 눈의 혈관에 영향을 주어 시력 문제를 일으킬 수 있습니다.
화면 시간: 과도한 화면 시간은 눈을 피로하게 하고 디지털 눈의 피로를 유발할 수 있습니다.
증상
흐릿한 시야: 명확하게 보기가 어렵습니다.
눈의 통증 또는 불편함: 쑤시거나 화끈거리거나 따가운 느낌.
빛에 대한 민감성: 밝은 빛에 노출되면 불편합니다.
야간 시력 저하: 어두운 곳에서 보는 데 문제가 있습니다.
플로터: 시야를 가로질러 떠다니는 작은 얼룩이나 점.
점진적인 시력 상실: 시간이 지남에 따라 천천히 시력이 저하됩니다.
방지
정기적인 눈 검사: 문제를 조기에 발견하기 위해 포괄적인 눈 검사 일정을 잡습니다.
자외선 차단: 유해한 자외선을 차단하는 선글라스를 착용하세요.
건강한 식단: 눈 건강에 도움이 되는 비타민과 영양소가 풍부한 음식을 섭취하세요.
금연: 담배를 끊으면 눈 질환의 위험을 줄일 수 있습니다.
건강 상태 관리: 당뇨와 고혈압을 조절하여 눈을 보호하세요.
화면 시간제한: 디지털 눈의 피로를 줄이기 위해 20-20-20 규칙을 따릅니다.
시력 안전: 스포츠 및 위험한 활동 중에는 보호 안경을 착용하십시오.
수분 공급: 수분을 유지하여 눈의 수분을 유지하십시오.
스트레스 관리: 스트레스는 눈에 영향을 미칠 수 있으므로 스트레스 감소 기술을 연습하십시오.
전립선 건강을 위한 식품
토마토: 전립선 문제의 위험을 줄이는 데 도움이 되는 강력한 항산화제인 리코펜이 풍부합니다. 익힌 토마토 또는 토마토소스 및 살사와 같은 토마토 기반 제품은 특히 리코펜이 높습니다.
십자화과 야채: 브로콜리, 콜리플라워, 양배추, 방울양배추에는 잠재적인 전립선 건강상의 이점과 관련된 설포라판과 같은 화합물이 포함되어 있습니다.
베리류: 딸기, 블루베리, 라즈베리와 같은 베리는 항산화제와 전반적인 건강에 기여할 수 있는 영양소가 풍부합니다.
생선: 연어, 고등어, 송어와 같은 지방이 많은 생선은 오메가-3 지방산이 풍부하여 항염증 특성이 있고 전립선 건강에 도움이 될 수 있습니다.
대두 제품: 두부, 템페, 대두에는 잠재적으로 전립선 건강에 도움이 될 수 있는 식물성 에스트로겐인 이소플라본이 함유되어 있습니다.
견과류: 아몬드, 호두, 브라질너트와 같은 견과류는 건강한 지방, 섬유질 및 전반적인 웰빙에 기여할 수 있는 영양소의 좋은 공급원입니다.
녹차: 녹차에는 카테킨이라는 항산화제가 풍부하여 항염증 및 전립선 보호 효과가 있습니다.
눈 건강을 위한 식품
당근: 당근은 좋은 시력에 필수적인 비타민 A의 전구체인 베타카로틴이 풍부합니다.
잎이 많은 채소: 시금치, 케일, 콜라드 그린 및 기타 잎이 많은 채소에는 눈 건강에 유익한 루테인 및 제아잔틴과 같은 항산화제가 풍부합니다.
생선: 연어, 정어리, 참치와 같은 지방이 많은 생선에는 전반적인 눈 건강을 지원할 수 있는 오메가-3 지방산이 포함되어 있습니다.
감귤류 과일: 오렌지, 자몽 및 기타 감귤류에는 눈의 혈관을 지원하는 비타민 C가 풍부합니다.
계란: 계란은 유해한 빛과 산화 스트레스로부터 눈을 보호하는 데 도움이 되는 루테인과 제아잔틴의 좋은 공급원입니다.
견과류 및 씨앗: 아몬드, 해바라기씨 및 기타 견과류와 씨앗에는 노화와 관련된 눈 질환의 위험을 줄이는 데 도움이 되는 비타민 E가 함유되어 있습니다.
피망: 피망에는 눈 건강에 기여할 수 있는 비타민 C와 기타 항산화제가 풍부합니다.
[다른글 더보기]
'건강' 카테고리의 다른 글
| 간장 질환 (0) | 2023.08.27 |
|---|---|
| 유행성 출혈열 (0) | 2023.08.24 |
| 공중보건을 위한 강력한 방패 백신 (0) | 2023.08.20 |
| 찬 기운에 노출되어 배가 아픈 것 -동의보감 한복통 (0) | 2023.08.19 |
| 만성폐쇄성 폐 질환 (0) | 2023.08.18 |