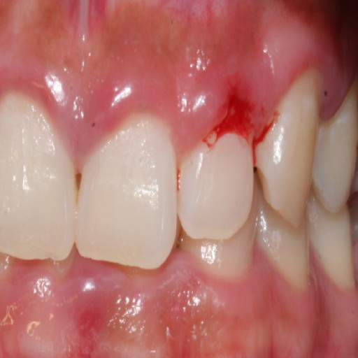
잇몸이 붓고 피가 나기 시작하면 잇몸 염증의 징후로 주의와 관리가 필요한 질환입니다. 건강한 잇몸은 치아와 지지 구조를 보호하는 장벽을 제공하면서 구강 건강의 필수적인 부분입니다.

알아두면 도움 되는 생활의서(生活醫書) 동의보감(東醫寶鑑)
동의보감 내경 편-혈(血)
잇몸에서 피가 나오는 것 [치군뉵 齒軍衄]
[입문]에 잇몸에서 피가 나오는 것을 치뉵이라고 한다. 잇몸은 위(胃)에 속하고 이빨은 신(腎)에 속한다. 양명경(陽明經)에서 소음경(少陰經)으로 병이 전이되어 2개의 경맥이 서로 어울리게 되면 잇몸에서 피가 많이 나오는데 사람들은 흔히 이것을 잇몸에서 나오는 피라는 것을 알지 못하고 찬물로 입을 가셔서 피를 멎게 한다. 그러나 조금 지나면 또 나온다.
잇몸이 붓고 피가 나는 원인
잇몸이 붓고 피가 나는 것은 구강위생 불량부터 호르몬 변화와 근본적인 건강 상태에 이르기까지 다양한 원인을 가질 수 있습니다. 잇몸 염증의 원인이 되는 일반적인 요인에는 잇몸 질환, 부적절한 구강 위생 습관, 임신이나 사춘기 동안 호르몬 변화, 영양 결핍, 특정 약물 및 스트레스가 포함됩니다.
잇몸 질환
잇몸 염증의 원인 치주 질환으로도 알려진 잇몸 질환은 잇몸 염증의 일반적인 원인입니다. 구강 내 박테리아가 잇몸선을 따라 치아 사이에 쌓이는 끈적끈적한 막인 플라크를 형성할 때 발생합니다. 정기적인 양치질과 치실을 통해 제거하지 않으면 치석이 딱딱해져 잇몸 염증이 생기고 결국 잇몸 질환이 발생합니다.
구강 위생 불량
부정확한 칫솔질이나 치석의 누적은 잇몸에 염증을 일으키고 출혈을 초래할 수 있습니다. 또한 치아와 잇몸 사이의 치아 결손이나 치아교정 문제도 이를 악화시킬 수 있습니다. 구강 위생 습관은 잇몸 염증에 중요한 역할을 합니다. 정기적으로 양치질과 치실을 하지 않으면 치석이 쌓이게 되어 잇몸 염증을 유발합니다. 구강 위생 불량으로 인한 잇몸 염증을 예방하고 치료하기 위해서는 올바른 칫솔질과 매일 치실을 사용하고 정기적으로 치과를 찾아 전문적인 관리를 받는 것이 필수적입니다.
호르몬 변화와 잇몸
호르몬 변화는 특히 사춘기, 임신 그리고 폐경기 동안 잇몸 건강에 영향을 미칠 수 있습니다. 호르몬 수치의 변동은 잇몸을 더 민감하게 만들고 염증을 일으키기 쉽습니다. 이러한 호르몬 불균형은 잇몸이 붓고 쉽게 피를 흘리게 할 수 있습니다. 잇몸 염증을 억제하기 위해서는 구강 위생을 잘 유지하고 정기적인 치과 검진이 중요합니다.
영양 결핍
잇몸에 미치는 영향 균형 잡힌 식사는 잇몸 건강을 포함한 전반적인 건강을 위해 필수적입니다. 비타민 C와 비타민 D의 결핍과 같은 영양 결핍은 면역 체계를 약화하고 잇몸을 염증과 감염에 더 취약하게 만들 수 있습니다. 과일, 채소, 지방이 적은 단백질, 필수 비타민과 미네랄이 풍부한 식단을 보장하는 것은 건강한 잇몸을 지지하고 잇몸 염증을 예방하는 데 도움이 됩니다.
약물 및 잇몸 염증
어떤 약들은 부작용으로 잇몸 염증에 원인일 수 있습니다. 항응고제(혈액 희석제), 항혈소판제, 그리고 특정 항우울제와 같은 특정 약물은 잇몸 출혈과 염증의 위험을 증가시킬 수 있습니다. 약을 먹는 동안 잇몸이 붓고 피가 나는 증상이 나타나면 의료 기관과 이 문제를 상담하여 치료 계획의 잠재적인 해결책이나 조정 방법을 모색하는 것이 중요합니다. 또한, 일부 약물은 부작용으로 구강 건조를 유발하여 침 생성을 감소시킬 수 있습니다. 침은 박테리아를 씻어내고 입 안의 건강한 환경을 유지함으로써 구강 건강에 중요한 역할을 합니다. 충분한 침이 없다면 잇몸 염증과 다른 구강 건강 문제의 위험이 증가합니다. 약이 잇몸 염증의 원인이 될 수 있다고 의심되면 의료 기관에 문의하십시오.
스트레스와 잇몸 건강에 미치는 영향
스트레스는 잇몸 건강을 포함하여 우리 건강의 다양한 측면에 해로운 영향을 미칠 수 있습니다. 우리가 스트레스를 받을 때, 잇몸이 염증과 감염에 더 취약하게 만들면서, 감염을 퇴치하는 우리 몸의 능력이 손상됩니다. 스트레스는 또한 잇몸 염증을 더욱 악화시킬 수 있는 이를 갈거나 악물기와 같은 구강 습관으로 이어질 수 있습니다. 휴식 기술, 운동, 그리고 지지를 구하는 것을 통해 스트레스를 관리하는 것은 잇몸 건강을 향상하는데 도움을 줄 수 있습니다.
기타 건강 상태
일부 건강 상태는 잇몸에 영향을 줄 수 있습니다. 예를 들어, 철 결핍성 빈혈, 면역력 저하, 당뇨병, 면역계 질환 등은 잇몸의 건강에 영향을 미칠 수 있습니다.
잇몸 관리
예방과 치료 잇몸 염증을 예방하고 치료하기 위해서는 올바른 구강 위생을 유지하는 것이 필수적입니다. 잇몸을 건강하게 유지하기 위해 다음 지침을 따르십시오.
올바른 칫솔 사용
부드러운 칫솔 또는 세정력이 있는 칫솔을 사용하십시오. 칫솔의 모서리나 뒷면도 잇몸 주변을 닦을 수 있도록 활용해야 합니다. 칫솔 교체는 3~4개월마다 하거나 칫솔모가 헐거운 상태가 되면 교체하는 것이 좋습니다.
효과적인 칫솔질
부드러운 칫솔과 불소치약으로 하루에 두 번 이를 2분 정도 닦으세요. 전체적인 칫솔질이 아닌 각각의 치아에 집중하여 천천히 원형으로 닦는 것이 좋습니다. 칫솔질 후에는 입 안에 남은 치약을 충분히 헹구어 내야 합니다.
치실 사용
치실은 매일 치아 사이의 플라크와 이물질을 제거합니다. 칫솔만으로는 닿지 않는 치아 사이의 공간에 치실을 사용하여 치아와 치아 사이를 깨끗하게 청소하세요. 치실 사용은 하루에 한 번씩 권장됩니다.
구강세척제
세균 활동을 줄이기 위해 소독용 구강세척제로 헹굽니다. 구강 세척제는 칫솔질 후에 입안을 헹굴 때 사용하는 것으로, 구강 내의 잔여 치약이나 세균을 제거해 줍니다.
정기적인 치과 방문
전문적인 세정과 검진을 위해 정기적으로 치과를 방문하여 구강 검진을 받는 것이 중요합니다. 의사는 잇몸 염증이나 다른 구강 질환을 조기에 발견하여 적절한 치료를 할 수 있습니다.
균형 잡힌 식사
과일, 야채, 통곡물이 풍부한 균형 잡힌 식사를 하세요. 과도한 설탕 섭취를 피하고, 식이 섬유를 풍부하게 함께 섭취하는 것이 좋습니다.
잇몸 질환 예방
담배 피우지 않기
담배 사용은 잇몸 질환의 위험을 증가시킬 수 있습니다. 담배 연기에는 많은 유해한 화학 물질이 포함되어 있으며, 입에 연기가 직접 노출되면 잇몸에 염증을 일으킬 수 있습니다.
잇몸 질환에는 잇몸염증, 잇몸출혈, 잇몸퇴행증 등이 포함됩니다.
마우스가드 사용
잇몸 질환을 예방하기 위해 이를 갈거나 악물면 마우스가드를 사용하는 것이 도움이 될 수 있습니다. 마우스가드는 이와 잇몸을 보호하여 부상이나 염증을 예방하는 역할을 합니다.
일상적인 구강 위생 관리
일상적인 구강 위생 관리는 잇몸 질환을 예방하는 데 매우 중요합니다. 칫솔과 치실을 사용하여 규칙적으로 이를 닦고 치아 사이에 낀 음식물을 제거하십시오.
정기적인 검진
전문가의 도움을 받아야 할 때 잇몸 염증이 지속되면 치과 전문의에게 정기적으로 검진을 받는 것이 좋습니다. 또한 잇몸 건강과 관련된 다른 건강 문제가 의심되는 경우 의사나 치과 전문의와 상담하는 것이 좋습니다.
잇몸의 상태를 평가하고, 근본적인 원인을 파악하고, 적절한 치료를 권고할 수 있습니다. 전문적인 치료에는 심각한 경우 심층 세척(스케일링 및 뿌리 대패질), 항생제 치료 또는 수술 절차가 포함될 수 있습니다.
이상적으로는 6개월마다 치과에 방문하여 구강 건강 상태를 확인하고 필요한 치료를 받아야 합니다.
결론
잇몸이 붓고 피가 나는 것은 주의가 필요한 잇몸 염증을 나타내는 것이므로 무시해서는 안 됩니다.
잇몸 염증의 원인을 파악하고 구강 위생을 잘 실천함으로써 건강한 잇몸을 유지하고 심각한 합병증을 예방할 수 있습니다. 정기적인 치아 관리와 필요할 때 전문가의 도움을 받는 것은 잇몸을 최적의 상태로 유지하고 건강한 미소를 보장하기 위해 필수적입니다.
[다른글 더보기]
'건강' 카테고리의 다른 글
| 피부에 갑자기 나타나고 솟아나고 가려운 두드러기 (0) | 2023.06.20 |
|---|---|
| 식은땀을 흘릴 때 원인 및 관리-동의보감 津液 (0) | 2023.06.19 |
| 심혈관 질환의 증상과 치료 및 예방 (0) | 2023.06.17 |
| 고통스런 발진을 일으키는 바이러스 감염 대상포진 (0) | 2023.06.13 |
| 조현병 (정신분열증) 증상 치료 예방 (0) | 2023.06.11 |